اِذا جاء نصر الله و الفتح . . .

حسین ع هم امام زمان خودش بود!

اِذا جاء نصر الله و الفتح . . .

حسین ع هم امام زمان خودش بود!

اِذا جاء نصر الله و الفتح . . .

آقا اجازه ؟!
دل زده ام از تمام شهر
بی تو دلم گرفته از این ازدحام شهر
آقا اجازه ؟!
دست خودم نیست خسته ام
در درس عشق ، من صف آخر نشسته ام
در این کلاس ، عاطفه معنا نمی دهد
اینجا کسی برای تو برپا نمی دهد
آقا اجازه ؟!
بغض گرفته گلویمان
آنقدر رد شدیم که رفت آبرویمان
اللهم عجل لولیک الفرج

سیستم ایمنی بدن انسان در قرآن

يكشنبه, ۵ مرداد ۱۳۹۳، ۰۴:۴۷ ب.ظ


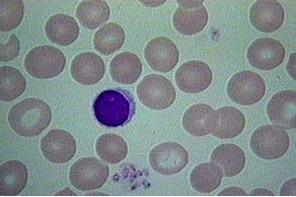
روزانه نزدیک به میلیون ها عوامل بیماری زا به بدن ما وارد می شوند که هر کدام از آنها می توانند منجر به وقوع بیماری در بدن ما شوند ولی در مجموع عوامل مختلفی در بدن ما دست به دست هم می دهند که بدن ما را در برابر بیماری حفاظت کنند از جمله ماسوسست ها لنفوسیت های B و T گولبول های سفید و ...

گولبول های سفید بدن را در برابر بیماری های عفونی محافظت می کنند و 5 در صد خون بدن انسان را شامل می شوند.که به دو صورت فاگوسیتوز(ذره خوای و هیستامین زا(با کمک مواد شیمیایی)عوامل بیماری را از بین می برندگولبول های سفید در مغز و استخوان تیموس گره های لنفی و طحال توبید می شوند و تعداد آنها در هر میلیمتر مکعب خون هفت هزار است.

ماسوسیت ها نقش واکنشهای آلرژیک در بدن را دارند و در گردش خون شرکت
دارند و با عبور از جداره مویرگ ها و بافتهای مختلف تکثیر و تمایز پیدا می
کنند.

لنفوسیت های T بعد از اتصاد به آنتی ژن ها تکثیر می شوند و تعداد زیادی سلول T خاطر و کشنده به وجود می آورند این لنفوسیت ها به سلول های سرطانی حمله می
کنند و با ماده ای بنام پرفورین آنها را از بین  می برند.

لنفوسیت های B  نیز در ایمنی هومورال نقش دراند . بر علیه آنتی ژن ها پادتن تولید می کنند

سیستم ایمنی یکی از پیچیده ترین دستگاه هائی است که از معجزات خلقت بوده و هرکدام از سلولهای دخیل دراین سیستم نقش خاصی را به عهده داشته وحاصل کار آنها یک مبارزه دائمی است که در طول زندگی برعلیه عوامل خارجی عمل نموده ؛ کمکاری یا اختلال در هر قسمت این سیستم منجر به بروز مشکلات بسیار بزرگیمیشود که ایدز یک نمونه بارز آنست .

در سوره طارق آیه 4 به این موضوع اشاره شده است:

« هر کسی در درون خود نیروی پشتیبانی دارد»


نظرات (۰)

هیچ نظری هنوز ثبت نشده است
ارسال نظر آزاد است، اما اگر قبلا در بیان ثبت نام کرده اید می توانید ابتدا وارد شوید.
شما میتوانید از این تگهای html استفاده کنید:
<b> یا <strong>، <em> یا <i>، <u>، <strike> یا <s>، <sup>، <sub>، <blockquote>، <code>، <pre>، <hr>، <br>، <p>، <a href="" title="">، <span style="">، <div align="">
تجدید کد امنیتی